Aesthetic Dentistry

Look good, feel confident — your dream smile starts here.

  • Professional Teeth Whitening

  • Porcelain Veneers

  • Full/Partial Mouth Rehabilitation

  • Smile Makeovers

💬 “Best cosmetic dentist in Rosharon — I love my veneers!”

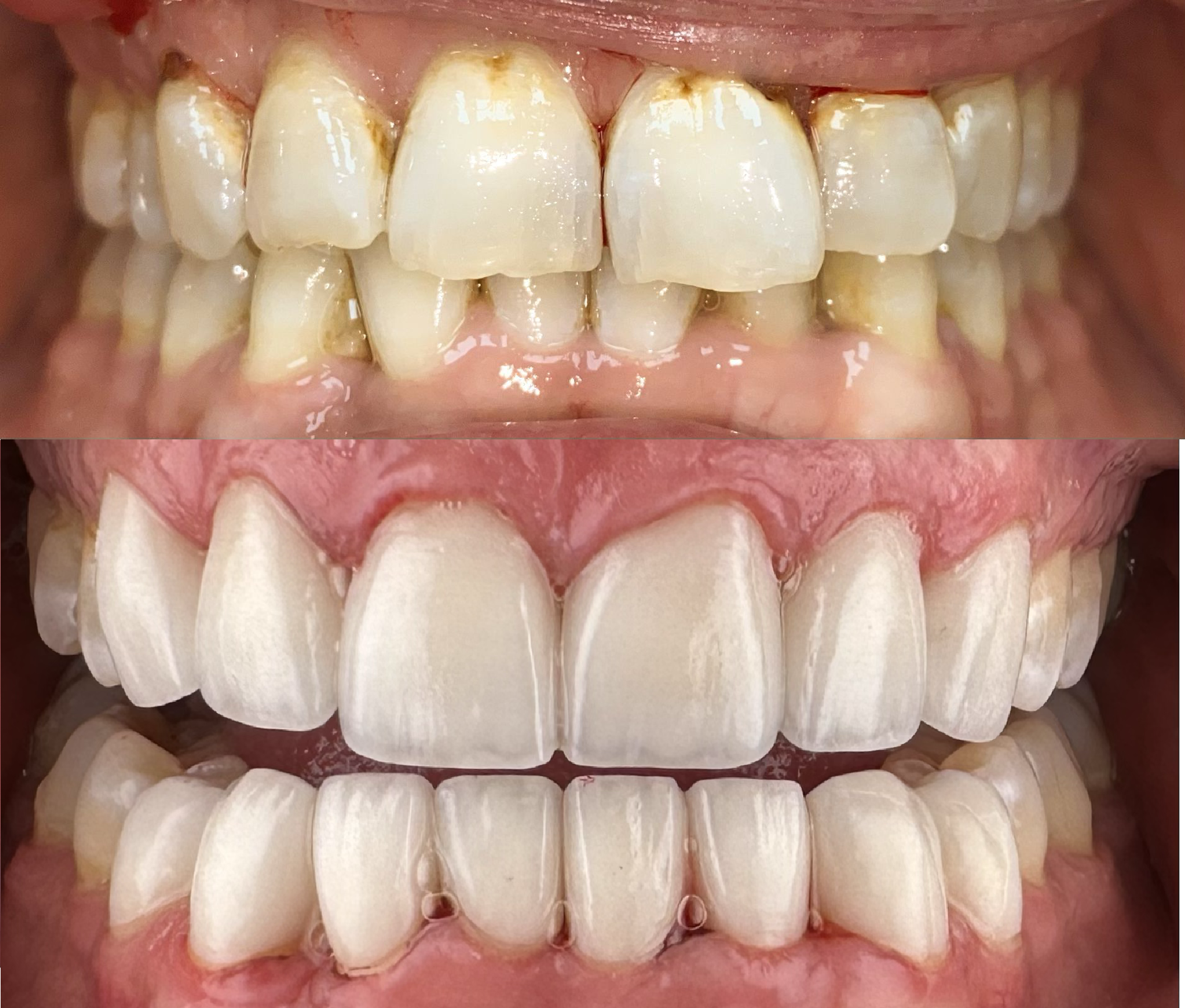
Smile Transformations of Our Patients: Before & After Gallery

Intricate Dentistry
15003 Highway 6, Suite #118
Rosharon, TX 77583

Monday: 9am – 5pm (lunch 1-2)
Tuesday: 9am – 5pm (lunch 1-2)
Wednesday: 9am – 5pm (lunch 1-2)
Thursday: 9am – 5pm (lunch 1-2)
Friday: 8am – 2pm
Saturday: 8am – 2pm
Sunday: Closed

Check Availability

OR

Call for Appointment